Actualidad
Detienen a mula con casi 14.000 dosis de cocaína en Quito
La detención se produjo cuando el hombre trataba de salir del país por el aeropuerto Mariscal Sucre de Quito y los agentes sospecharon de él.

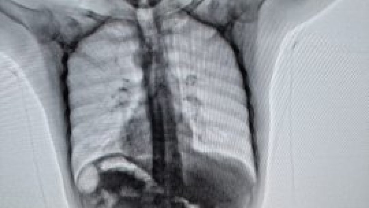
Se detectó que llevaba en su organismo 13.893 dosis de cocaína. Una placa radiográfica así lo confirmó
Agentes de la Unidad de Información de Puertos y Aeropuertos (UIPA) de la Policía detuvieron este martes 20 de agosto de 2019 a un individuo con casi 14.000 dosis de cocaína dentro de su cuerpo.
La detención se produjo cuando el hombre trataba de salir del país por el aeropuerto Mariscal Sucre de Quito y los agentes sospecharon de él.
Según un mensaje por redes sociales de la UIPA se le practicó al individuo una placa radiográfica que reveló que, dentro del cuerpo, llevaba 13.893 dosis de cocaína.
Los agentes no indicaron cuál era el destino del detenido, ni su identidad, ni de dónde procedía la droga.
Queso y pan con ‘coca’
Horas antes, en un operación coordinada por la misma unidad UIPA y por otra de Adiestramiento Canino (CRAC) detectaron en el aeropuerto de Guayaquil 4.980 dosis de cocaína ocultos “en una encomienda que contenía queso y pan”.
En este caso, el destino de las drogas era el mercado estadounidense, según un mensaje por redes sociales de la Policía.
Ecuador no es un país productor de cocaína pero está dentro de la lista de países narcotraficantes porque sus costas son empleadas con ese fin por los productores de Colombia y Perú.
Cada año, las fuerzas de seguridad ecuatorianas consiguen interceptar hasta cien toneladas de cocaína que pasan por el territorio con destinos a los mercados de Estados Unidos y Europa.